Перейти к контенту

Рекомендуемые сообщения

Опубликовано

UFC 261 – это следующий номерной турнир главного промоушена смешанных единоборств, который по московскому времени пройдет в ночь с 24 на 25 апреля. Мероприятие примет арена “Vystar Veterans Memorial” в Джексонвилле (Флорида). Мейн-кард турнира будет состоять из трех титульных поединков и двух боев за очки рейтинга между топовыми бойцами.

Постер турнира UFC 261 (ММА)

В главном поединке дня нигериец Камару Усман (18-1) проведет четвертую защиту чемпионского титула в полусреднем весе. Его соперник – американец Хорхе Масвидаль (35-14). Усман и Масвидаль уже встречались друг с другом на турнире UFC 251. Тогда к просмотру боя по платной трансляции подключилось свыше миллиона зрителей. Поединок продлился полную дистанцию, а по его завершению победа без вопросов (по единогласному решению судей) досталась действующему чемпиону. Важно добавить, что на тот бой Масвидаль согласился всего за несколько недель до его проведения. И сейчас многие фанаты надеются, что при полноценной подготовке Хорхе сможет оказать достойное сопротивление непобедимому нигерийцу.

Во втором по значимости матче мероприятия сойдутся новая звезда UFC Чжан Вйэли (21-1) и экс-чемпионка организации Роуз Намаюнас (12-4). Это будет сражение за титул в минимальной весовой категории среди женщин. Чемпионский пояс 31-летняя Вэйли завоевала на домашнем для себя турнире в Китае. После этого она успела провести одну защиту титула, одолев Йоанну Енджейчик (18-4) из Польши. Ее соперница, 28-летняя Роуз Намаюнас, на данный момент занимает первое место в рейтинге минимального дивизиона.

И, наконец, в третьем титульном бое силами померятся Валентина Шевченко (19-3) из Киргизии и бразильянка Джессика Андраде (21-8). Заполучив в 2018 году чемпионский пояс UFC в наилегчайшей весовой категории, Шевченко уже четырежды его защитила. В целом спортсменка идет на 6-матчевой беспроигрышной серии. Джессика Андраде является бывшей чемпионкой женского минимального дивизиона, а теперь занимает первое место в рейтинге наилегчайшего веса. И, по мнению букмекеров, она является самой грозной соперницей, с которой когда-либо встречалась Валентина. Пожелаем удачи киргизо-перуанской чемпионке!

Расписание боев UFC 261:

Мейн-кард

  • Камару Усман (Kamaru Usman) – Хорхе Масвидаль (Jorge Masvidal), титульный поединок в полусреднем весе;
  • Вейли Чжан (Weili Zhang) – Роуз Намаюнас (Rose Namajunas), женщины, титульный поединок в минимальном весе;
  • Валентина Шевченко (Valentina Shevchenko) – Джессика Андраде (Jessica Andrade), женщины, титульный поединок в наилегчайшем весе;
  • Крис Вайдмэн (Chris Weidman) – Юрайа Холл (Uriah Hall), бой за место в рейтинге среднего веса UFC;
  • Алекс Оливейра (Alex Oliveira) – Рэнди Браун (Randy Brown), бой за место в рейтинге легкого или полусреднего веса UFC.

Прелимы

  • Дуайт Грант (Dwight Grant) – Стефан Секулич (Stefan Sekulic), средний или полусредний дивизион;
  • Брендан Аллен (Brendan Allen) – Карл Роберсон (Karl Roberson), полутяжелый или средний дивизион;
  • Тристан Коннелли (Tristan Connelly) – Пэт Сабатини (Pat Sabatini), легкий дивизион;
  • Данаа Батгерел (Danaa Batgerel) – Кевин Нативидад (Kevin Natividad), легчайший дивизион;
  • Родриго Варгас (Rodrigo Vargas) – Чжу Ронг (Zhu Rong), легкий или легчайший дивизион;
  • Джефф Молина (Jeffrey Molina) – Киленг Аори (Qileng Aori), наилегчайший дивизион;
  • Ариани Карнелосси (Ariane Carnelossi) – На Лянь (Na Liang), женщины, легчайший или наилегчайший дивизион.

По МСК мероприятие стартует 25 апреля в 01:00, мейн-кард начнется не раньше 5 часов утра. Как обычно, прямую трансляцию основных боев можно будет посмотреть на платформах "Wink" и "More TV" или по подписке "UFC Fight Pass". Также полный показ турнира предусмотрен в программе кабельного телеканала "UFC TB".

  • Upvote 1

“Сильнее всех — владеющий собой.”
Сенека


✈️ Отправки из РФ! 100% рабочая фарма!  — 🧬 В Магазин 💊
Наш ТГ с закрытыми акциями и доступом в магазин — @athleticpharma_shop 🔒

Опубликовано

Камару Усман задумался об уходе из ММА после второго боя с Хорхе Масвидалем

Хотя президент UFC Дана Уайт уже объявил Колби Ковингтона следующим претендентом на чемпионский пояс в полусреднем весе, которому предстоит сразиться за титул с победителем матча "Усман – Масвидаль", не факт, что Колби представится возможность отомстить Камару за самое обидное поражение в своей карьере (даже если последний выиграет у Масвидаля, как предполагают букмекеры).

Все потому, что действующий чемпион раздумывает об уходе из смешанных единоборств, независимо от результата воскресного боя с Масвидалем.

Бой Ковингтона и Усмана (титульный бой UFC)

Я реалист и хочу оставаться честным с самим собой – я знаю, что не могу драться и побеждать вечно, как бы мне этого не хотелось. Тем не менее, прямо сейчас я нахожусь в такой форме, что никто из этих парней (конкурентов по полусреднему дивизиону) не может мне ничего противопоставить. Большинство из них я уже избивал. Что Вы мне предлагаете, бить их по второму кругу?!

После реванша с Масвидалем мы с командой сядем и все тщательно обдумаем. Надо посмотреть, есть ли какие-то варианты, чтобы мне самому было интересно бросить вызов сопернику. Если их нет, то я, наверное, попробую себя в ринге, или, может, вообще закончу карьеру, кто знает…

Напомним, что Колби Ковингтон и Камару Усман встречались друг с другом на UFC 245 в декабре 2019 года. В том бою победа досталась нигерийскому бойцу в результате технического нокаута в заключительном, пятом раунде. Дойди дело до решения судей, вполне возможно, что чемпионский пояс отошел бы к американскому претенденту, настолько неоднозначным вышел поединок.

Обвинить Усмана в уклонении от реванша с Ковингтоном тоже нельзя. Для 33-летнего нигерийца воскресный матч с Масвидалем будет уже четвертой защитой титула за последние 2 года.

“Сильнее всех — владеющий собой.”
Сенека


✈️ Отправки из РФ! 100% рабочая фарма!  — 🧬 В Магазин 💊
Наш ТГ с закрытыми акциями и доступом в магазин — @athleticpharma_shop 🔒

Опубликовано

Утром в воскресенье, 25 апреля, по московскому времени завершился долгожданный турнир UFC 261. Зрителям он запомнился тремя яркими титульными поединками, в одном из которых претендент сумел одолеть действующего чемпиона, а также ужасной травмой Криса Вайдмэна во втором бое мейн-карда.

Усман нокаутировал Масвидаля (UFC 261)

Начнем с титульных боев. Первыми в октагоне схлестнулись Валентина Шевченко и Джессика Андраде. Уверенное выступление киргизо-перуанской чемпионки, как результат – победа после технического нокаута на четвертой минуте второго раунда. Для Шевченко это уже пятая успешная защита пояса в наилегчайшем женском дивизионе.

Далее в октагон вышли Роуз Намаюнас и Вейли Чжан. Поединок оказался одним из самых ярких на всем турнире. Его итог: уже на второй минуте первого раунда Роуз выключила китайскую соперницу после удара левой ногой и добивания локтями. Красивый нокаут, и чемпионский пояс в минимальном весе среди женщин заслужено отходит к американской претендентке.

Главный поединок дня тоже не разочаровал фанатов ММА. В упорной борьбе Камару Усман нокаутировал Хорхе Масвидаля, отстояв звание лучшего бойца в полусреднем весе UFC. Матч завершился на второй минуте второго раунда. Отметим, что теперь Усман имеет 17-матчевую беспроигрышную серию.

Крис Вайдман после перелома ноги

Также стоит упомянуть несколько не самых приятных событий, которые случились в это воскресенье в Джексонвилле. Во-первых, бывший чемпион тяжелого веса UFC Даниэль Кормье повздорил со скандальным блогером и боксером Джейком Полом. Они столкнулись друг с другом в зрительном зале, и, казалось, что словесная перепалка вот-вот перерастет в драку. Даниэля можно понять, ведь накануне Джейк Пол крайне нелицеприятно высказывался в адрес смешанных единоборств и бойцов, которые представляют этот вид спорта, включая самого Кормье.

Однако настоящая катастрофа произошла во втором матче мейн-карда, где за очки рейтинга среднего веса бились Юрайа Холл и Крис Вайдмэн. Уже в самом начале первого раунда Вайдмэн получил страшный перелом ноги. Комментаторы и зрители не сразу поняли, что произошло. Но на замедленном повторе можно увидеть, как после неудачного лоу-кика голень Криса буквально переламывается пополам. Желаем американскому спортсмену скорейшего и полноценного выздоровления!

Все результаты UFC 261:

Мейн-кард

  • Камару Усман (Kamaru Usman) – Хорхе Масвидаль (Jorge Masvidal), победа Усмана, нокаут на 1:02 во 2 раунде;
  • Вейли Чжан (Weili Zhang) – Роуз Намаюнас (Rose Namajunas), победа Намаюнас, нокаут на 1:18 в 1 раунде;
  • Валентина Шевченко (Valentina Shevchenko) – Джессика Андраде (Jessica Andrade), победа Шевченко, технический нокаут на 3:19 во 2 раунде;
  • Крис Вайдмэн (Chris Weidman) – Юрайа Холл (Uriah Hall), победа Холла, технический нокаут (травма соперника) на 0:17 в 1 раунде;
  • Энтони Смит (Anthony Smith) – Джимми Крут (Jimmy Crute), победа Смита, технический нокаут (остановка доктором) после 1 раунда.

Прелимы

  • Алекс Оливейра (Alex Oliveira) – Рэнди Браун (Randy Brown), победа Брауна, сабмишн на 2:50 в 1 раунде;
  • Дуайт Грант (Dwight Grant) – Стефан Секулич (Stefan Sekulic), победа Гранта по раздельному решению судей;
  • Брендан Аллен (Brendan Allen) – Карл Роберсон (Karl Roberson), победа Аллена, сабмишн на 4:55 в 1 раунде;
  • Тристан Коннелли (Tristan Connelly) – Пэт Сабатини (Pat Sabatini), победа Сабатини по единогласному решению судей;
  • Данаа Батгерел (Danaa Batgerel) – Кевин Нативидад (Kevin Natividad), победа Батгерела, технический нокаут на 0:50 в 1 раунде;
  • Родриго Варгас (Rodrigo Vargas) – Чжу Ронг (Zhu Rong), победа Варгаса по единогласному решению судей;
  • Джефф Молина (Jeffrey Molina) – Киленг Аори (Qileng Aori), победа Молины по единогласному решению судей;
  • Ариани Карнелосси (Ariane Carnelossi) – На Лянь (Na Liang), победа Карнелосси, технический нокаут на 1:28 во 2 раунде.

Джефф Молина и Киленг Аори получили по 50 тысяч $ в качестве бонуса за участие в “бое вечера”. Также бонус в виде 50 тысяч $ выдали Камару Усману и Роуз Намаюнас за "лучшее выступление" на UFC 261.

  • Upvote 1

“Сильнее всех — владеющий собой.”
Сенека


✈️ Отправки из РФ! 100% рабочая фарма!  — 🧬 В Магазин 💊
Наш ТГ с закрытыми акциями и доступом в магазин — @athleticpharma_shop 🔒

Опубликовано

Крис Вайдмэн рассказал о своем переломе и восстановлении после UFC 261

Спустя сутки после ужасного перелома, полученного в самом начале боя с Юрайей Холлом, Крис Вайдмэн сделал заявление для фанатов. Находясь в больнице после перенесенной операции, боец рассказал о своем самочувствии и сроках восстановления:

Честно признаюсь, когда это случилось, и я оказался на канвасе, увидев свою ногу, то почувствовал невыносимую боль, которая меня захлестывает. Я постарался сосредоточиться на чем-то позитивном и думать только об этом. Надеялся, что позитивные мысли как-то помогут перетерпеть боль, потому что в тот момент мне было совсем не весело. Я не хотел верить в то, что видел своими глазами”, – написал Вайдмэн в личном Инстаграме.
Да, травма жесткая, но я со всем справлюсь! Думаю, понадобится где-то восемь недель, прежде чем я смогу сам вставать с постели, ходить без костылей и водить машину. Что касается тренировок – без понятия. Доктора говорят, на полное восстановление может уйти от шести месяцев до одного года”.
Операция закончилась благополучно. Через колено мне вставили титановый стержень, который держит большую берцовую кость. Малая берцовая тоже переломалась, но встала на место, как только врачи соединили большую. Насколько я понял, она заживет сама по себе”, – закончил он свое сообщение.

Бой Криса Вайдмэна и Юрайа Холла на UFC 261

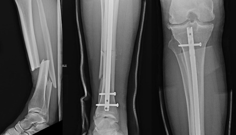
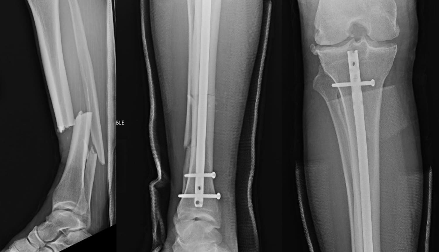
Также боец UFC поделился рентгеновскими снимками голени до и после проведения операции. Они дают в полной мере понять, какими серьезными были повреждения Криса:

Рентгеновские снимки до и после пережитого вчера кошмара. Сейчас нас больше всего волнует кость, проткнувшая мою икру и кожу на ноге. Необходимо убедиться, что рана не заражена”.

Перелом Криса Вайдмэна

Еще раз хотим пожелать американскому спортсмену скорейшего и полного выздоровления!

“Сильнее всех — владеющий собой.”
Сенека


✈️ Отправки из РФ! 100% рабочая фарма!  — 🧬 В Магазин 💊
Наш ТГ с закрытыми акциями и доступом в магазин — @athleticpharma_shop 🔒

Опубликовано
28.04.2021 в 19:24, Илья Муромец сказал:

Крис Вайдмэн рассказал о своем переломе и восстановлении после UFC 261

Спустя сутки после ужасного перелома, полученного в самом начале боя с Юрайей Холлом, Крис Вайдмэн сделал заявление для фанатов. Находясь в больнице после перенесенной операции, боец рассказал о своем самочувствии и сроках восстановления:

Честно признаюсь, когда это случилось, и я оказался на канвасе, увидев свою ногу, то почувствовал невыносимую боль, которая меня захлестывает. Я постарался сосредоточиться на чем-то позитивном и думать только об этом. Надеялся, что позитивные мысли как-то помогут перетерпеть боль, потому что в тот момент мне было совсем не весело. Я не хотел верить в то, что видел своими глазами”, – написал Вайдмэн в личном Инстаграме.
Да, травма жесткая, но я со всем справлюсь! Думаю, понадобится где-то восемь недель, прежде чем я смогу сам вставать с постели, ходить без костылей и водить машину. Что касается тренировок – без понятия. Доктора говорят, на полное восстановление может уйти от шести месяцев до одного года”.
Операция закончилась благополучно. Через колено мне вставили титановый стержень, который держит большую берцовую кость. Малая берцовая тоже переломалась, но встала на место, как только врачи соединили большую. Насколько я понял, она заживет сама по себе”, – закончил он свое сообщение.

Бой Криса Вайдмэна и Юрайа Холла на UFC 261

Также боец UFC поделился рентгеновскими снимками голени до и после проведения операции. Они дают в полной мере понять, какими серьезными были повреждения Криса:

Рентгеновские снимки до и после пережитого вчера кошмара. Сейчас нас больше всего волнует кость, проткнувшая мою икру и кожу на ноге. Необходимо убедиться, что рана не заражена”.

Перелом Криса Вайдмэна

Еще раз хотим пожелать американскому спортсмену скорейшего и полного выздоровления!

:ci:

Жесть какая...

Создайте аккаунт или авторизуйтесь, чтобы оставить комментарий

Комментарии могут оставлять только зарегистрированные пользователи

Создать аккаунт

Зарегистрировать новый аккаунт в нашем сообществе. Это несложно!

Зарегистрировать новый аккаунт

Войти

Есть аккаунт? Войти.

Войти
×
×
  • Создать...

Важная информация

Используя форум вы соглашаетесь с правилами Условия использования и политикой конфиденциальности Политика конфиденциальности.